网红神药减重36斤,胃里却长“石头”:那些急功近利的减肥,都在偷偷还债 “7

快乐自媒体 2025-11-15 08:15:51

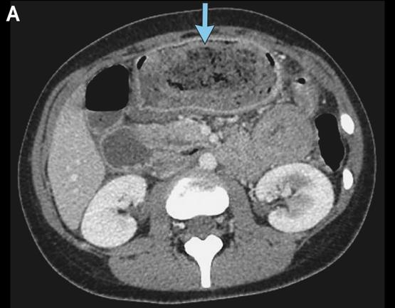
网红神药减重36斤,胃里却长“石头”:那些急功近利的减肥,都在偷偷还债 “7天瘦10斤”“不用节食运动”,当网红直播间喊出这些口号时,63岁的阿姨怎么也没想到,让自己从93公斤瘦到75公斤的“神药”司美格鲁肽,会在她胃里结出坚硬的结石。持续一个月的恶心呕吐、烧灼样腹痛,直到胃镜下那块顽固的胃石出现,才揭开了“快速减重”背后的健康陷阱。 这不是个例。江苏无锡的王阿姨把山楂当减肥神药狂炫,结果胃肠里长满大小结石,只能手术取出;北京李女士跟风买的网红“小粉片”,吃后腹泻呕吐不止,经查竟非法添加了处方药利尿剂,成本不到1元却卖69.9元。更触目惊心的是,有些“中药减肥丸”藏着甲状腺素片,让18岁姑娘瘦20斤后患上药物性甲亢,心悸手抖、月经紊乱 。这些被网红吹成“救命稻草”的产品,本质上都是用健康换体重的骗局。 为什么明知可能有风险,还有人愿意铤而走险?说到底,是“身材焦虑”催生的急功近利。我们总想着走捷径,却忘了身体从不会说谎:司美格鲁肽这类药物虽获批准减重,但需严格遵循医嘱,擅自使用可能导致胃排空延迟形成胃石;利尿剂不过是脱水假减重,长期服用会引发电解质紊乱,甚至心脏骤停 ;而山楂、柿子中的鞣酸,过量食用也会和蛋白质结合凝结成结石。那些宣称“立竿见影”的减肥神药,要么是非法添加违禁成分,要么是利用身体代谢漏洞,短期效果背后全是看不见的伤害。 真正的健康从没有捷径。医生明确建议,只有BMI达标且合并相关并发症,才能在专业指导下考虑药物减肥,而健康饮食+规律运动才是长久之计。就像那位胃结石阿姨,停用“神药”后3个月体重反弹10公斤,血糖也随之升高,此前的减重成果终究成了泡影。 减肥的本质是自律与耐心,而非赌上健康的豪赌。当我们为了数字焦虑时,不妨想想:那些偷来的快速减重,终要以器官损伤、代谢紊乱为代价偿还。与其迷信网红神药,不如相信身体的规律。你身边有没有人踩过减肥骗局?欢迎在评论区分享经历,提醒更多人别让急功近利,毁掉本该安稳的健康。

0 阅读:2
快乐自媒体

快乐自媒体

感谢大家的关注