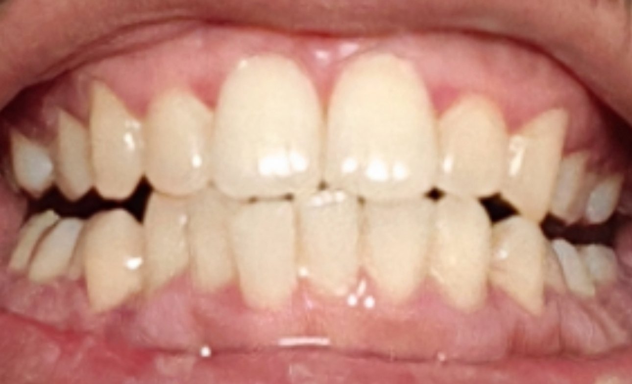
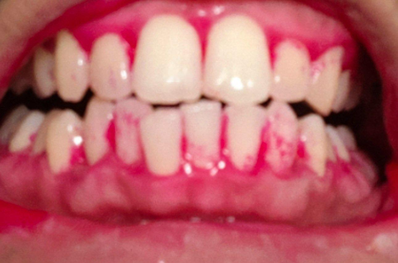
测试一款吹的很高的网红牙膏。不能说没用,但肯定没有吹的那么好分别试了一周,到3个

欧阳书秋叶 2025-11-13 07:14:15

测试一款吹的很高的网红牙膏。不能说没用,但肯定没有吹的那么好分别试了一周,到3个月,一管用完了。牙菌斑确实有改善,牙结石也算有点改善。牙没有变白,乳头区的颜色反而更深了回头换个牙膏再试试。

0 阅读:0
欧阳书秋叶

欧阳书秋叶

感谢大家的关注