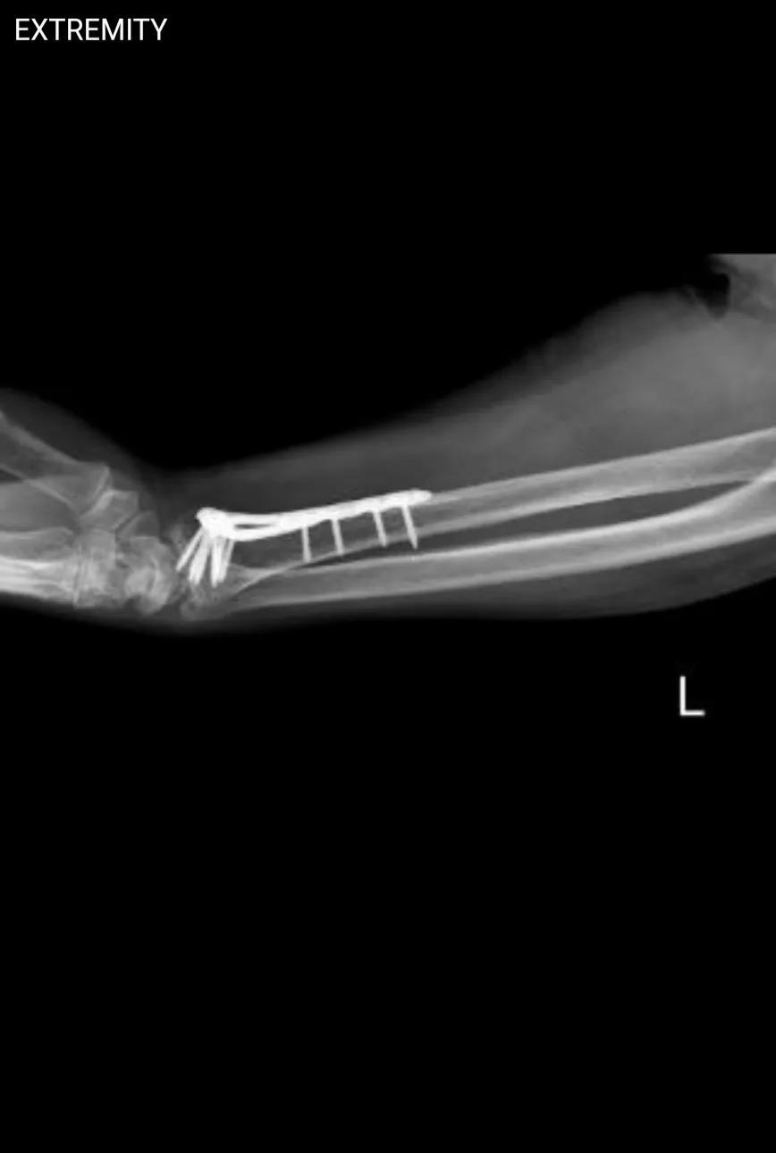
螺钉是11颗? 今天接诊了一位桡骨远端骨折术后的患者来我院取内固定。拍了X线后,我反复数螺钉,怎么数都是11颗。可有人说有12颗,有人说13颗,甚至还有人说10颗。原本以为这手术是我院做的,还打算调手术记录看看,结果发现并非如此。我也顾不了那么多了,我认定就是11颗,不服来辩。


螺钉是11颗? 今天接诊了一位桡骨远端骨折术后的患者来我院取内固定。拍了X线后,我反复数螺钉,怎么数都是11颗。可有人说有12颗,有人说13颗,甚至还有人说10颗。原本以为这手术是我院做的,还打算调手术记录看看,结果发现并非如此。我也顾不了那么多了,我认定就是11颗,不服来辩。


作者最新文章
热门分类
军事TOP
军事最新文章