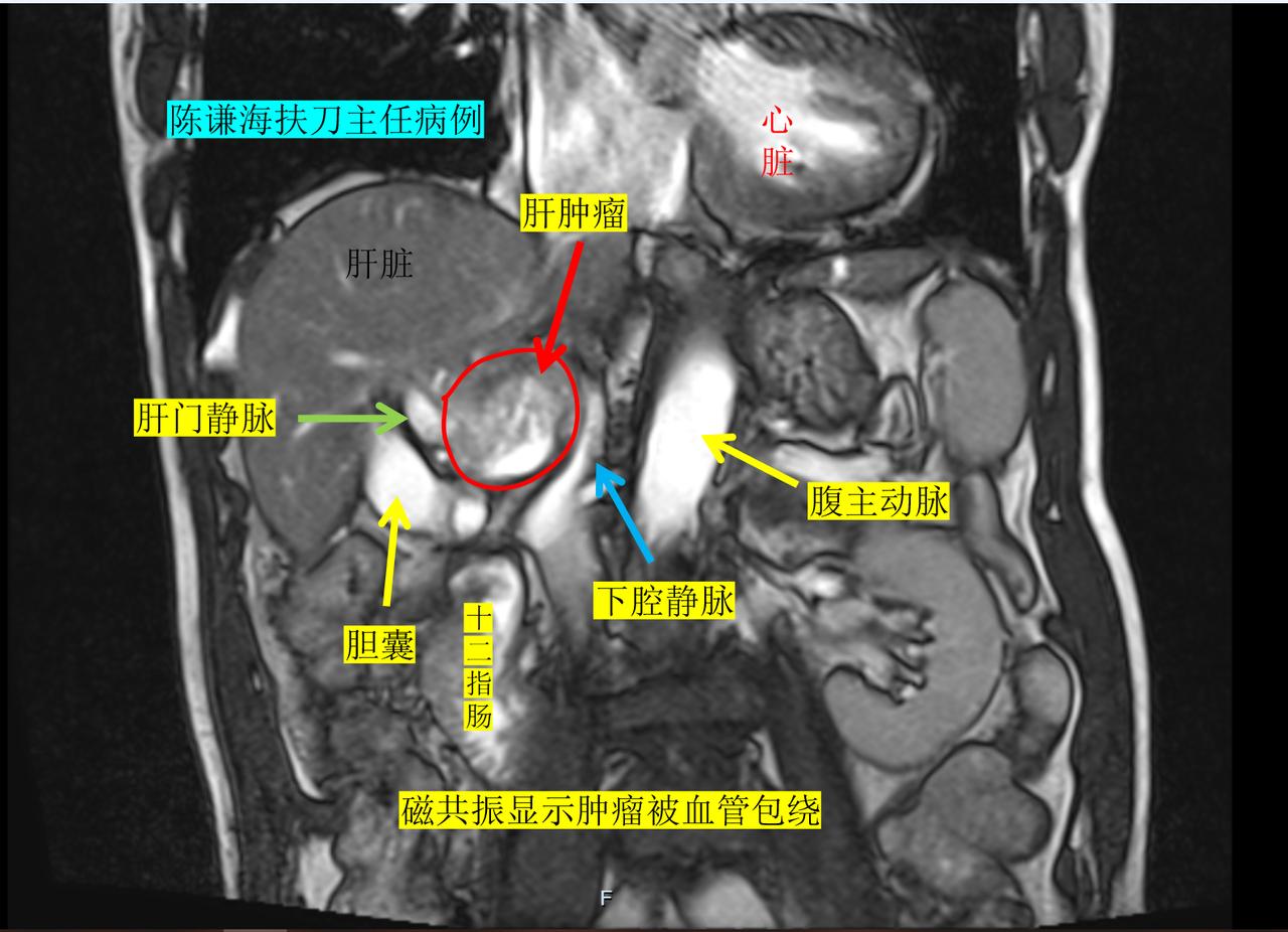
这是我们上周才治疗的一名晚期肝癌患者,病人74岁,来自江西,患者确诊原发性肝癌后,在当地做了介入治疗,射频消融治疗等综合治疗后,肿瘤有残留复发。 现在复查增强磁共振显示肿瘤紧邻门静脉、下腔静脉,旁边是胆囊,靠近头侧是肝静脉,病灶位置想到特殊,常规的消融治疗手段风险很高,很容易损伤血管,并且也有损伤胆囊和肠道的危险。在了解到海扶刀对靠近血管的肿瘤进行安全消融之后,不远千里从江西至我们中心进行消融治疗。 患者术中效果消融满意,术后复查增强磁共振,显示肿瘤100%消融,肝静脉,门静脉下腔静脉都没有损伤,患者术后第二天就正常出院了。 海扶刀治疗是利用超声波聚焦后直接烫伤肿瘤,具有创伤小,效果确切,术后恢复快,无放射性风险等优势,对疑难特殊部位的肝肿瘤具有独特优势。肝癌 海扶刀



