12岁女孩,初中生,间断发热七天。病初高热就确诊流感,吃了奥司他韦有改善,但还没

岑日记 2025-12-03 08:37:17

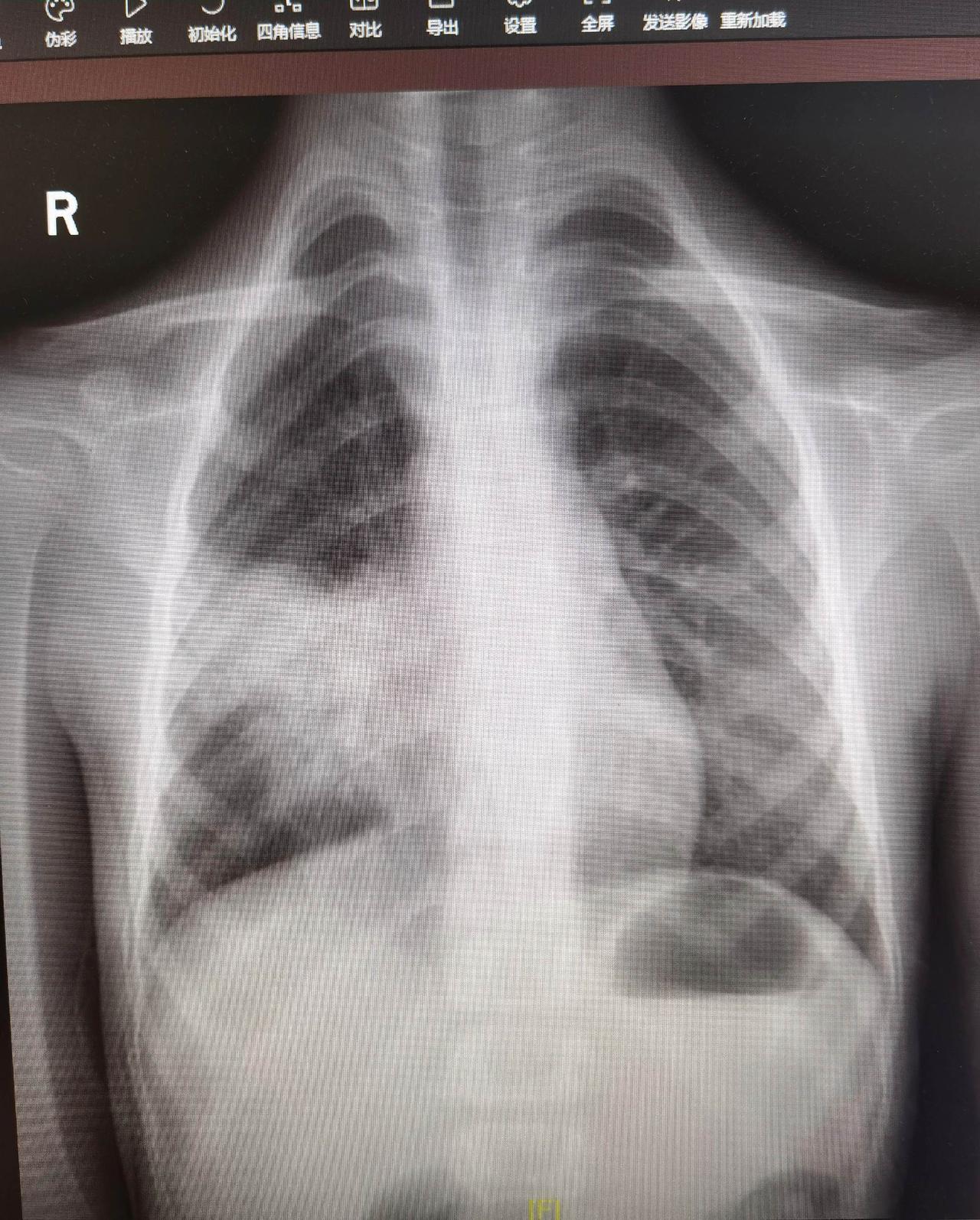
12岁女孩,初中生,间断发热七天。病初高热就确诊流感,吃了奥司他韦有改善,但还没完全退烧家长就让孩子上学去了,药物也是时用时不用。 期间退烧两天,后咳嗽突然加重并再次高热,一边上学一边吃退烧药扛,第三天就受不住了,来就诊,结果肺炎。合并肺炎支原体感染。 只能住院了。 关于流感退烧后再次发热,考虑以下几种情况。 1.用药疗程不足。奥司他韦抗病毒的机制是抑制病毒复制,常规疗程五天,提前停药可能会导致病毒在体内再次复制,所以疾病反复,出现发热。 2.出现其他并发感染。在疾病期和恢复期,机体免疫力相对较低,如果接触了其他病原体,极易合并感染。在学校,环境相对密闭,人群密集、防护欠缺,病毒种类仅次于医院,很难避免感染。 3.流感并发症。少部分人流感后会出现一系列的并发症,如气管炎、肺炎、心肌炎、脑炎等等。一旦出现,可能会再次发热,同时伴随其他相应的临床症状。 4.甲流急性期的反复高热,导致体温调节中枢功能紊乱,出现了短时间的低热。这种情况一般不会伴随其他不适,宝宝一般情况好,精神胃纳也不错,大多不需特殊处理,会自行恢复。 近期,各类病原体流行,感染后的并发症、后遗症等等问题频发,各位家长需高度警惕。 流感 肺炎支原体 肺炎

0 阅读:45225

评论列表

过路人

过路人

28
2025-12-03 17:29

磷酸奥司他韦,医院只开三天的药!!!

皮卡秋 回复 12-04 00:14
我这边只开两天

用户18xxx22 回复 12-04 11:08
医院开的还只是仿制药,建议去药店买原研药!

德行饮茶

德行饮茶

22
2025-12-06 19:45

学校跟家长都有问题,尤其是家长,我家的就是初中生,发烧去社康看确诊是甲流,马上就做报备,哪个学校的,几年级几班,并告诫我们退烧后过四十八小时才能返校,班主任更严,要核酸检测阴性才能返校,我问了医生检测阴性的话要五六天,谁家的孩子不是孩子啊,自家的孩子发烧了心里多难受自己不知道啊?孩子没好就送去学校,那是对其他孩子的极不负责的表现,还有没有一点公德心的?

可爱到膨胀

可爱到膨胀

20
2025-12-04 11:27

我姐小孩也是 断断续续的发烧两个礼拜了 基本上是每天早上起来都会发烧 有时候半夜 吃药打针也没用。。。后面带去县城检查拍片是肺炎和支气管炎 住了几天院每天做雾化和打针吃药治疗 每天时不时的量体温 稳定了几天才出院。

冷静一点别激动 回复 12-04 15:42
发烧那么久才去医院

可爱到膨胀 回复 冷静一点别激动 12-04 21:53
当时也没想那么多 还寻思着是不又惹上脏东西了 而且带去看医生 医生也没说让去检查下什么的。加上在老家 最近有检查的医院在县城 六七十公里来着。。。后面听人提起就带去县城检查了。

SS 鲨鱼叔叔

SS 鲨鱼叔叔

13
2025-12-04 06:47

这次打死也不会再接种任何疫苗了 。

shark 回复 12-04 10:23
流感疫苗不打?

大安 回复 shark 12-04 15:57
流感疫苗打了就先中招,不是每个人都适合。

用户38xxx93

用户38xxx93

11
2025-12-04 10:22

甲流还上课,只考虑自己啊!结果拼住院了!

用户10xxx75

用户10xxx75

11
2025-12-05 20:15

我儿子班里一小朋友甲流发烧,家长竟然不请假让孩子一直上学,结果截止到今天班里已经有30个孩子被传染了,剩下的一小半孩子还不知道咋样呢

婞諨璐一葮 回复 12-08 14:30
我家孩子就是班上有一个孩子发烧了还送学校了,老师问咋回事,家长给老师说喉咙发炎,吃着药呢,其实是流感,一个行为导致全班63个孩子,请假了40个,给老师家长气的不行,因为这专门开了家长会,说是孩子发烧必须退烧才能去学校

49xxx77 回复 12-06 07:44
三年美国疫亖两百万人,国内时代国际的管理层也拿着他人的苏康码到处乱跑乱钻。至今自媒体还反智中伤防疫。大多数人仍然分不清发烧和病毒的联系,以为不发烧等于健康!西方不会禁止生化武器的。

风华绝代石榴姐爱玩SM

风华绝代石榴姐爱玩SM

11
2025-12-09 07:57

所以说有些家长眼中就只有读书,小孩的命都不要了。

用户18xxx57

用户18xxx57

10
2025-12-04 11:50

就是支原体肺炎,也会白肺的。

用户71xxx84 回复 12-06 12:47
我们打的是医院的肺炎疫苗

憧憬、_next

憧憬、_next

10
2025-12-04 17:40

以我的经验,发烧三天不退一定要做胸部平扫看看是不是肺炎

白煤球 回复 12-04 21:09
对,一般单纯发烧没合并其他病毒或者没肺炎三天基本会退烧

1902968 回复 12-06 12:36
发烧咳嗽有吃药三天不好,大概率肺炎,我前年也是这样低烧三天家里吃了点中成药,没效果!三天后去医院发热门诊,查CT确诊肺炎

502

502

7
2025-12-04 09:13

流感,还未完全退烧就上学!是哪位老师失职的如此有魄力,敢如此不顾及班级其余几十位学生的健康安全就让她回来上学?

YUO 回复 12-06 07:21
我这学生请假,学校必须要医院开的返校许可

杠精去死

杠精去死

6
2025-12-04 09:51

流感很恐怖的,上次直接住院了

用户90xxx62

用户90xxx62

5
2025-12-08 15:58

经过甲流洗礼过,感觉以后的人病都不长了,我二姨前几天也是甲流以为是小感冒,没过几天人走死了。哎…

东方不败

东方不败

5
2025-12-08 15:43

反正我吃阿膜西林好了

天香豆蔻

天香豆蔻

4
2025-12-06 11:08

没有其他药💊可以吃吗?

momo

momo

4
2025-12-21 09:03

挺好的,多淘汰一些,人还能少些。不想嘎的太快的自己多注意。至于那些一定要说自己就是躲不开的,那就随缘喽![吃瓜]

AI爱

AI爱

3
2025-12-04 08:28

只知道用药还不如开热空调三天

蟋蟀 回复 12-04 08:52
瞎说

云之澜 回复 12-09 08:01
瞎说 空调细菌多 感冒喉咙发炎肺部发炎一开就咳的半死

gheerg

gheerg

3
2025-12-04 12:28

为什么能去上学啊,流感学校要求医院开了证明才可以复课的

诺诺诺诺言丶

诺诺诺诺言丶

3
2025-12-09 17:11

抗生素对抗不了流感病毒 但能极大程度保证你在身体虚弱时 不细菌感染 可悲的是现在的人抗生素滥用 搞笑的是 随便一个人穿越 都是移动的毒王 瘟神都要绕着走

用户10xxx96

用户10xxx96

3
2025-12-11 10:48

我家的一包感冒药好了,他刚开始不舒服有温烧的苗头就说出来了 平时还跳绳。所以平时该吃药就吃药不要觉得副作用大,难道发烧吃药好几天没副作用吗?还有最好教孩子不舒服就说出来,一定要会表达这很重要

用户12xxx25

用户12xxx25

3
2025-12-22 15:16

主要还是大部分家长怕学业落下,两三天就推小孩去上学,小孩本来有病精神身体状态都差还休息不好,对病情恢复不好,加上学校人口密度高交差感染风险高,传染一大片,分不清身份重要还是几天的学业重要,害人又害己!

南山大忽悠狼

南山大忽悠狼

3
2025-12-23 15:29

别轻易使用奥司他韦!治疗甲流依淡炎+退烧,抗过敏为手段

Nyla鑫鑫

Nyla鑫鑫

2
2025-12-06 23:53

不是吃阻断药吗直接就控制住了

summer

summer

1
2025-12-04 12:24

可威99

用户15xxx35

用户15xxx35

1
2025-12-08 22:38

直接吃一颗玛巴洛沙韦,省时省力

岑日记

岑日记

感谢大家的关注